We know exercise is good for us, but scientists are still figuring out why, at the most fundamental and molecular level. A new small but long-term study may have yielded a crucial answer, identifying the metabolite betaine as a key driver of the benefits of exercise.

Betaine, a small molecule found in foods like sugar beets and spinach, has previously been linked to improved health, but it hasn’t been connected to exercise before.

In this study, a team led by researchers from the Xuanwu Hospital Capital Medical University in China found that long-term exercise boosts levels of betaine in the body, via the kidneys.

What’s more, betaine can mimic some of the beneficial effects of exercise, especially the slowing of biological aging (aka geroprotection). It may be that this molecule could help us live healthier lives for longer.

Related: One Form of Exercise Improves Sleep The Most, Study Finds

“This study gives us a fresh way to turn how our body works into something we can target with chemicals,” says biophysicist Liu Guang-Hui, from the Chinese Academy of Sciences.

“It opens the door to geroprotective treatments that can tweak how multiple organs work together.”

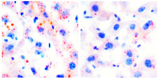
Liver disease picture
One of the effects of betaine in mice was to reduce fat buildup in the liver (right) compared to untreated controls (left). (Guang-Hui Liu’s lab)

The researchers looked at the effects of exercise on 13 healthy male volunteers, using an approach called multi-omics to measure changes in the body happening at the most basic levels, across genes, proteins, the immune system, and small molecules such as betaine.

After a single 5-kilometer (3.1-mile) run, the researchers noticed a sharp, short stress response. However, after a month of regular running, there was a more permanent upgrade in several areas, including reduced cell aging and damage, and a healthier gut microbiome and immune system.

Another key discovery: The kidneys in these volunteers were producing much more betaine. Through tests on mice, the researchers established that betaine blocks an enzyme called TBK1, which has already been linked to inflammation and aging in the body.

In other words, higher betaine levels aren’t just a consequence of sticking to steady, long-term exercise – these chemical boosts are actually a driving force behind some of the benefits that exercise brings with it, especially when it comes to anti-aging.

“Our study delineated the molecular blueprint through which exercise reshapes human physiology, providing mechanistic insights into its health benefits,” the researchers write in their published paper.

“The identified exercise-induced factors, including betaine, offer potential for developing ‘exercise in a pill’ to promote healthy aging.”

Subscribe to ScienceAlert's free fact-checked newsletter

It’s important to acknowledge that the researchers aren’t suggesting that we could all soon be popping pills instead of visiting the gym. There are plenty of exercise benefits not covered in this research, including increased muscle strength and better mental health.

However, there is the potential to use betaine and the other biological changes discovered here to inform the development of medications that could reduce the risk of age-related disease and keep the body in better shape – whether that’s for people getting older or for those who can’t exercise for various reasons.

Much more work needs to be done here, in studies across much larger groups of people and covering much longer periods of exercise. But the discovery of betaine’s vital role is a promising lead that researchers could explore.

“This redefines ‘exercise as medicine’,” Guang-Hui says.

The research has been published in Cell.