Gout is often blamed on overindulgence in alcohol or unhealthy eating, but research suggests genetics plays a much bigger role in the painful arthritic condition than previously thought.

In 2024, an international team of scientists looked at genetic data collected from 2.6 million people across 13 different cohorts of DNA data. That number included 120,295 people with “prevalent gout“.

By comparing the genetic codes of people with the condition to those of people without, the team found 377 specific DNA regions where there were variations linked to gout – 149 of which hadn’t been associated with the disease before.

Related: Scientists Revive 20-Million-Year-Old Gene to Help Fight Gout

While lifestyle and environmental factors are certainly still in play, the findings suggest genetics is a major driver of gout risk – and the researchers think there may be more undiscovered genetic links still to be found, too.

Watch the video below for a summary of the research:

YouTube Thumbnail

“Gout is a chronic disease with a genetic basis and is not the fault of the sufferer – the myth that gout is caused by lifestyle or diet needs to be busted,” said epidemiologist Tony Merriman from the University of Otago in New Zealand, when the study was published last year.

Gout takes hold when there are high levels of uric acid in the blood, which then form sharp crystal needles in the joints. When the body’s immune system starts to attack those crystals, it leads to significant pain and discomfort.

Genetics is important in every stage of that process, the researchers suggest. Particularly, it affects the likelihood of the body’s immune system attacking the crystals, and in the way uric acid is transported around the body.

YouTube Thumbnail

Gout can come and go, but there are treatments available – and the authors behind the study think misconceptions can put people off getting those treatments. That’s a real problem with cases of the condition rising and rising.

“This widespread myth causes shame in people with gout, making some people more likely to suffer in silence and not go and see the doctor to get a preventive drug that lowers urate in the blood and will prevent their pain,” said Merriman.

Subscribe to ScienceAlert's free fact-checked newsletter

On top of giving us a better understanding of the causes of gout, the study provides scientists with more options to explore when it comes to treatments, particularly in terms of managing the body’s immune response to the buildup of uric acid. In fact, existing drugs could be repurposed for this job.

Huge Study Shows Where Gout Comes From, And It Isn't What We Thought
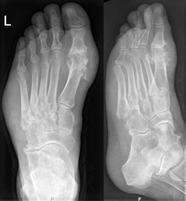
Gout on X-rays of a left foot in the metatarsal-phalangeal joint of the big toe. (Hellerhoff/CC BY-SA 3.0/Wikimedia Commons)

There are some limitations to the study: the majority of the data was from people of European ancestry, and some records relied on the self-reporting of gout rather than a clinical diagnosis. Nevertheless, it gives us a much better sense of a health problem that’s been afflicting people for centuries.

“We hope that, in time, better and more accessible treatments will become available with the new targets we identified,” said Merriman. “Gout deserves more health-spend resources and greater prioritization in the health system.”

The research was published in Nature Genetics.

An earlier version of this article was published in November 2024.