Researchers have developed nasal drops that travel along the nerves of the nose into the central nervous system to fight the deadliest brain cancer.

Preliminary test results reveal that the medication safely reached its target, helping protect mice against these usually fatal tumors.

“This is an approach that offers hope for safer, more effective treatments for glioblastoma and potentially other immune treatment-resistant cancers, and it marks a critical step toward clinical application,” says neurosurgeon Alexander Stegh of Washington University.

“This redefines how cancer immunotherapy can be achieved in otherwise difficult-to-access tumors.”

Related: New Vaccine For Deadly Brain Cancer Shows Incredible Results in Clinical Trial

Glioblastoma tumors are highly aggressive, hard to detect early, and deactivate our body’s typical immune response, making them challenging to target with traditional cancer therapies.

They’re also very hard to reach, given they form in the brain or elsewhere along our delicate central nervous systems.

This nasty cancer impairs brain functions by causing swelling in surrounding healthy tissues, compressing them, and stealing their blood supply.

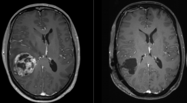
MRI Image of a Glioblastoma before and after surgery
Surgery is currently the first stage of glioblastoma treatment. (Ars Neurochirurgica/Wikimedia/CC 4.0)

Previously, researchers devised a way to alert mice immune systems to the cryptic cancer’s presence by stimulating interferon genes in the cancer cells (STING). Interferon genes usually alert the body to a viral infection.

Unfortunately, drugs that achieve this break down rapidly in the body, requiring multiple invasive administrations to reach the tumor directly.

Washington University neuroscientist Akanksha Mahajan and colleagues developed a simpler way to deliver drugs where they’re needed using nanotechnology.

“We really wanted to minimize patients having to go through that when they are already ill, and I thought that we could use the spherical nucleic acid platforms to deliver these drugs in a noninvasive way,” explains Mahajan.

Subscribe to ScienceAlert's free fact-checked newsletter

They transformed STING-activating molecules into spherical genetic material to maintain their stability for longer. To achieve this, the researchers wrapped the genetic material around a gold nanoparticle core.

The team then tested their medicine in mice with glioblastomas. They found that their gold-mounted genetic instructions successfully activated the STING pathway to inhibit tumor growth.

“With this research, we’ve shown that precisely engineered nanostructures, called spherical nucleic acids, can safely and effectively activate powerful immune pathways within the brain,” says Stegh.

The researchers caution there’s still a long way to go before human clinical trials, and this tactic will need to be backed up by other methods of attack, as the cancer cells can circumvent the STING pathway.

But when the nose drops were paired with other drugs designed to boost immunity, the researchers were able to induce long-term immunity against glioblastoma in the mice.

Glioblastoma is the most common malignant brain cancer. Only 6.9 percent of patients survive beyond five years after diagnosis.

YouTube Thumbnail

“When my grandmother developed metastatic brain tumors after being diagnosed with end-stage breast cancer, I experienced the vicious toll the disease had on her and everyone around her,” Stegh has explained previously.

“Her battle inspired me to confront this insidious disease, and my education and training led me to do so by pioneering a better understanding of the genetics behind brain tumors.”

This research was published in PNAS.